El Hallazgo

El día que hackearon el hospital y nadie estaba preparado

En los últimos años, varios hospitales de la región sufrieron ataques que bloquearon sistemas y secuestraron datos clínicos. La amenaza que el sector de la salud había postergado durante años llegó de golpe y sin aviso, y muchas instituciones la enfrentaron sin estar preparadas.

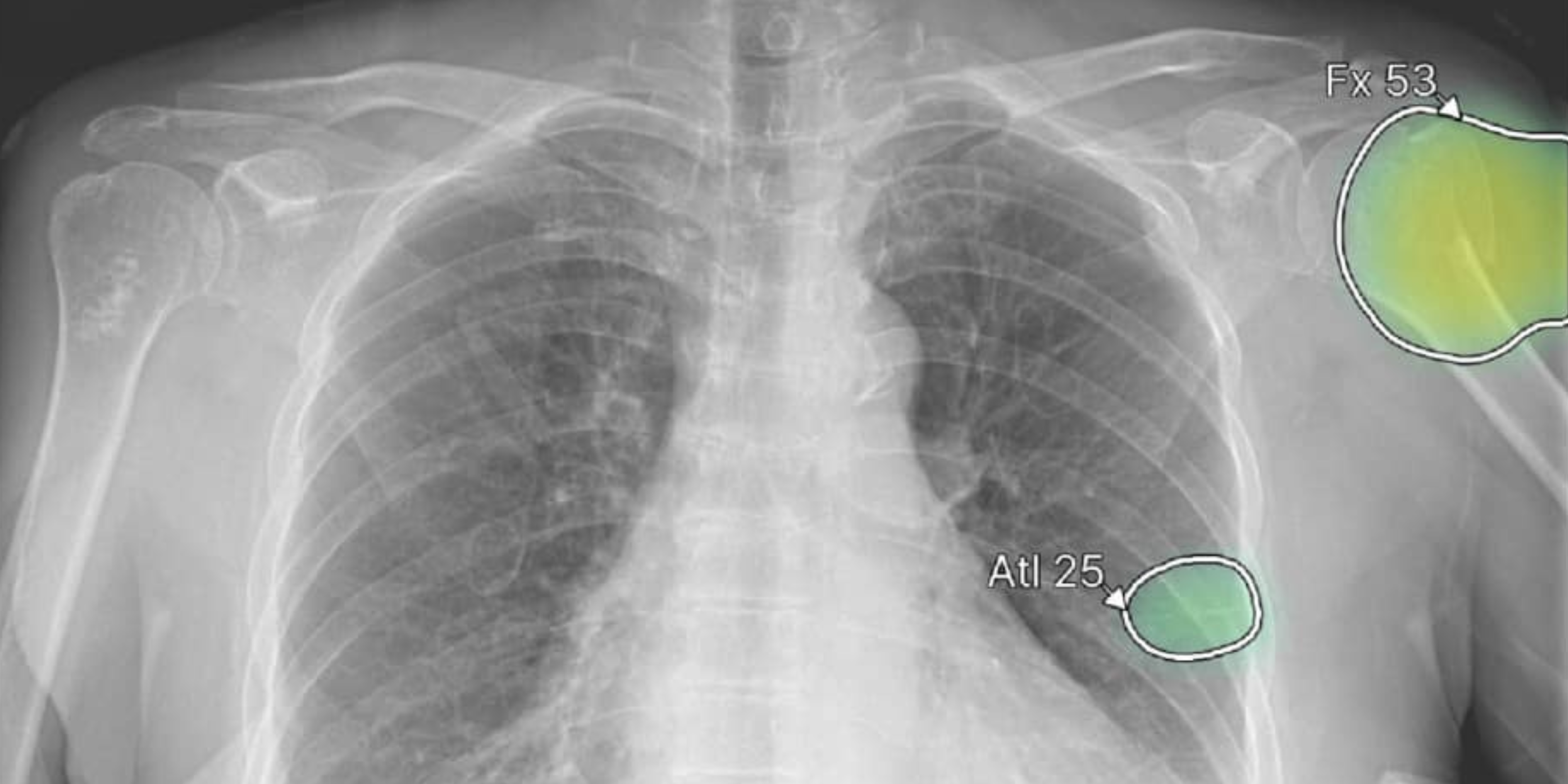
Los ciberataques en salud vienen creciendo a nivel global, con hospitales y sistemas completos afectados en distintos países, y el diagnóstico por imágenes es uno de los puntos más sensibles. Los sistemas almacenan millones de datos clínicos, funcionan muchas veces sobre infraestructura tecnológica envejecida y, en la mayoría de los casos, no cuentan con presupuesto suficiente para protegerse. Mientras otros sectores, como el financiero, invierten en seguridad desde hace décadas, muchos centros de salud avanzaron en digitalización sin la misma inversión en protección.

La migración del PACS a la nube empieza a cambiar parte de esa ecuación. Un proveedor especializado que opera en un data center certificado puede ofrecer niveles de seguridad que un hospital mediano difícilmente pueda sostener por su cuenta.

En Estados Unidos, marcos regulatorios como HIPAA establecen estándares exigentes para la protección de datos médicos. En Latinoamérica, ese nivel de cumplimiento todavía es desigual y, en muchos casos, difícil de alcanzar.

La preparación frente a un ataque se define en decisiones concretas: hacer un diagnóstico del estado de seguridad del centro, mantener backups actualizados, segmentar accesos a los sistemas, capacitar a los equipos frente a posibles ataques, trabajar con proveedores que cumplan estándares de seguridad y tener un protocolo escrito de contingencia para que la guardia pueda seguir informando si el sistema cae. La diferencia entre un centro que vuelve a operar en horas y uno que pierde la semana está ahí.

Frente a un ataque, todos los centros están expuestos, y lo que separa a uno de otro es el nivel de preparación. La ciberseguridad pasó a formar parte de la continuidad operativa, la confianza del paciente y la calidad del cuidado, más allá del plano técnico.

 

Lic. Lautaro Sánchez

Más estudios y menos especialistas, el desafío de los jefes de radiología

Next article